Cabinet de chirurgie dentaire à Saint Rémy
Docteur POMEL Philippe chirurgien dentiste près de Chalon sur Saône

12 route de Givry 71100 SAINT REMY

+33 3 85 48 77 09

Cabinet de chirurgie dentaire à Saint Rémy
Docteur POMEL Philippe chirurgien dentiste près de Chalon sur Saône

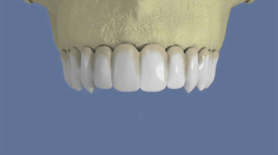
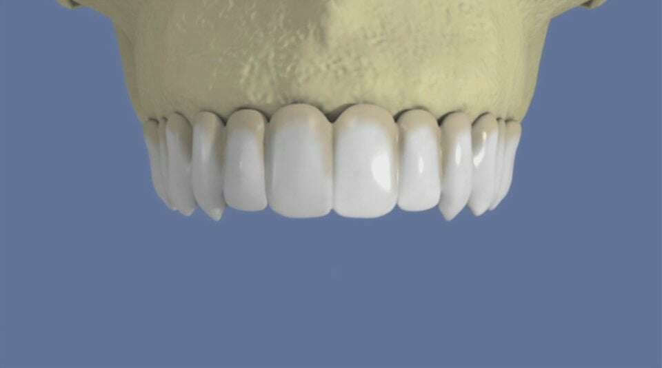
Maxillaire : bridge vissé sans fausse gencive


video-play-icon

Articles similaires

Création par Webdentiste

Connexion